Текст книги "Культура кактусов"
Автор книги: Сергей Батов
Жанры:
Ботаника
,сообщить о нарушении
Текущая страница: 1 (всего у книги 30 страниц)
Вегетативные органы кактусов,
их функции, строение и разнообразие.
Кактусы относятся к высшим растениям, т.е. у них есть вегетативные (корень, стебель, лист) и генеративные (цветок) органы.
Строение и функция цветка будут описаны в разделе «Генеративное размножение кактусов», а в данной части мы познакомимся с вегетативными органами, рассмотрим их морфологию и физиологию применительно к культуре кактусов.
Для вегетативных органов характерна полярность. Каждый орган имеет два полюса: верхний или верхушечный (терминальный) и нижний или основной (базальный). Основы вегетативных органов заложены уже в зародыше семени. С наступлением благоприятной температуры и влажности семена всасывают воду и при достаточном доступе воздуха начинают прорастать. Вначале из семени выходит зародышевый корешок, затем начинает формироваться стебель. Место соединения корня со стеблем называется корневой шейкой.
У проростков кактусов вначале развивается зародышевый стебель – гипокотиль (hypocotil) с парой крошечных выростов зародышевых листочков – семядолей. Впоследствии гипокотиль и семядоли срастаются с корневой шейкой и морфологически обнаруживаются только на срезах.
Рост осевых органов: корня и стебля – в длину осуществляется за счет быстро растущих клеток первичной меристемы, расположенной в верхушках этих органов, а в диаметре – за счет клеток вторичной меристемы – камбия.
Корень
В типичных случаях корень является осевым подземным органом, который никогда не образует листья и не несет наружных почек. Этим он отличается от корневища – подземного стебля.
Корень выполняет разнообразные физиологические и механические функции. Важнейшие из них следующие:
поглощение воды, минеральных и, отчасти, органических веществ из почвы и передача их в надземные части растения.
Кактусы, растущие в аридных условиях, добывают воду либо развивая длинные стержневые, уходящие глубоко под землю, корни, либо формируя сеть верхних корней, расположенных всего в нескольких сантиметрах под поверхностью почвы. Такая сеть может простираться до десятков метров в диаметре. Когда жаркий день сменяется ночью и на поверхности почвы выпадает роса, из грубых «арматурных» корней проклевываются и быстро вырастают нежные корешки, обладающие огромной всасывающей активностью. С увеличением дневной температуры и прогревом почвы они отмирают. Такое потребление конденсированной влаги довольно характерно не только для кактусов, но и для других ксерофитных растений. Часто кактусы имеют смешанный тип корневой системы. (В культуре смешанный тип корневой системы можно получить из стержневой путем прищипывания верхушки главного корня. Это позволяет более эффективно использовать земляной субстрат, хотя у некоторых кактусов, например Coryphantha sp.sp. такой прием не стимулирует, а наоборот, тормозит рост растения.);
закрепление в субстрате.
Растения, имеющие вертикально– или горизонтально– сильноразросшиеся корни, невозможно опрокинуть. Имея надежную опору, некоторые виды кактусов вырастают вверх на несколько метров (Carnegiea gigantea достигает до 18 м в высоту);
синтез некоторых органических соединений, например, гормонов роста, и накопление запасных питательных веществ;
связь растения с микроорганизмами и грибами, которые участвуют в процессе поглощения и превращения веществ. Это так называемый симбиоз, без которого высшие растения не могут потреблять и усваивать большинство органических соединений.
В кактусоводческой литературе можно встретить описание опыта по определению выживаемости молодых экземпляров Astrophytum sp. sp. при содержании их длительное время на стерильной среде на 100% лишенной питательных веществ. При этом длительность жизни сеянцев приближалась к 2-м годам. Автор проводил аналогичные опыты над Parodia sp.sp. и Gymnocalycium sp.sp. – длительность жизни сеянцев не превышала 1-го года.
В несколько модернизированном опыте, сеянцы кактусов, выращенные в стерильных условиях на средах, содержащих стерильную вытяжку из почвы со сбалансированным содержанием органических и минеральных компонентов, были недоразвиты и погибали через 1,5 – 1,8 года. И только введение низкомолекулярных органических веществ позволило продлить их жизнь до 5-ти лет и без потерь перевести на почвенное содержание. Именно на такие вещества грибы и бактерии разлагают органику почвы.

Рис.3. Вертикальный (1), горизонтальный (2) и смешанный (3) тип корневой системы (по Brehme).

Рис.4. Типы корней:
подземные: А – проводящий, Б, В – запасающие (Б – реповидный, В – клубневидный); воздушные: Г.
(Кш – корневая шейка, ПС – главный корень, БК – боковые корни, ПК – придаточные корни).

Рис.5. Из книги Н.Верзилина «Путешествие с домашними растениями»
Н.Верзилин в своей книге «Путешествие с домашними растениями», изданной в 1954 году приводит рисунки, иллюстрирующие методику содержания кактусов в замкнутых стерильны> условиях, в субстрате, где уничтожена вся микрофлора. Как и в опытах с сеянцами, здесь следуеп отметить, что хотя в первое время эти растения будут активно наращивать биомассу, в основном из-за большего обводнения тканей во влажных условиях «микрооранжерейки», однако постепенно их рост будет замедляться и они значительно отстанут от аналогичных кактусов содержащихся в открытой среде. Если же периодически добавлять (например, с помощью шприца) в субстрат находящийся в замкнутом сосуде низкомолекулярные органические вещества – ростовые процессы будут проходить с нормальной скоростью. Именно поэтому в гидропонной культуре в питательный раствор добавляют такие низкомолекулярные соединения, как глюкозу, мезоинозит, витамины гормоны и т.п.
Одним из общих биологических свойств корней является ветвление. В результате ветвления значительно увеличивается общая поверхность корней, образуется корневая система.
При травмировании верхушки корня усиливается его ветвление, развиваются сильны боковые корни. Корневые системы очень разнообразны, как по способу ветвления, так и по форме происхождению и экологическим типам. В зависимости от происхождения различают главны? придаточные и боковые корни.
Придаточные корни могут отрастать от любых вегетативных органов растения. Иногд они выполняют функцию прикрепления стебля к опоре или поглощения влаги из воздуха.Част молодые побеги-«детки» имеют придаточные корни или их зачатки.


Фото 1-8. Форма корня: реповидная: Pterocactus decipiens (1);
Peniocereus johnstonii (2);
Ariocarpus retusus (3); с образованием клубней: Wilcoxia striata (4); побегообразующие корни:
Erdisia meyenii (5); воздушные придаточные корни:
Deamia testudo (6);
Hylocereus venezuelensis (7); придаточные корни на боковых побегах
Echinopsis sp. (8). (фотографии 1 – 7 по W.Rauh).
От главного и придаточных корней отходят боковые корни.
Формы корней многообразны: шнуровидные, бичевидные, конусовидные, веретеновидные, реповидные, клубневидные и т.д. По отношению к субстрату – подземные и воздушные.
У отдельных кактусов также выделяют особую группу сокращающихся, или контрактильных корней, которые при неблагоприятных условиях втягивают корневую шейку и даже стебель в почву, предохраняя их от перегрева (например, Ariocarpus sp.sp.).

Рис.6. Схема строения корня (продольный разрез).
А – корневой чехлик;
Б – зона роста и растяжения; В – всасывающая зона корневых волосков;
Г – начало зоны ветвления.
Корни некоторых кактусов из родов Myrtillocactus, Trichocereus, Nolocuctiix. Gvninwalyciuni имеют внутренние придаточные почки, из которых могут развиваться надземные побеги корневые отпрыски.
В целом корень имеет довольно универсальное строение. Это хорошо видно на его продольном разрезе.
Обычно различают три зоны корня и корневой чехлик, который покрывает наиболее молодые и делящиеся клетки первичной меристемы, расположенные на кончике корня.
Эти молодые более или менее однородные клетки формируют конус нарастания из клеток зоны роста и растяжения. Благодаря конусу нарастания нежные сосущие корешки кактусов могут вырасти до 6 – 8 см за ночь. В этих корешках конус нарастания составляет 1 1,5 мм, а остальное пространство занимают клетки зоны всасывания. В отличие от мезофитных растений, где протяженность зоны всасывания составляет 1,5 – 2 мм, у кактусом она гораздс длиннее: до 1 – 5 см и более. Поверхностные клетки этой зоны образуют особые выросты корневые волоски. Корневые волоски поглощают из почвы растворы минеральных солей и своими выделениями растворяют некоторые химические соединения, например, фосфорнокислые Благоприятное влияние на деятельность корневых волосков оказывает почвенный воздух.
На этом стоит остановиться подробнее, т.к. начинающие кактусоводы считают, что чем мельче частицы субстрата, тем лучше. Однако это не совсем правильный подход. У некоторых1 суккулентных растений, например Litoрs хр.хр., корневые волоски настолько редуцированы, что вода всасывается непосредственно клетками корня в зоне всасывания. Естественно, что в таком случае наиболее желательно плотное облегание корня частичками почвы. Для таких растений, как и для кактусов, не развивающих большую зону всасывания на корне (а такие виды встречаются практически во всех родах), следует составлять более тяжелый субстрат, включающий глину Другие же виды кактусов, интенсивно развивающие корневые волоски, в таком субстрате да ещё при обильном поливе будут терять корни, останавливаться в росте и, в конечном счете, погибать. Для таких растений необходим легкий субстрат с большим содержанием песка и гравия. Так же следует культивировать кактусы с реповидными, клубневидными и утолщенными корнями.
Рис.7. Схема поперечного
строения корня в зоне всасывания:
1. корневые волоски;
2. центральный цилиндр;
3. камбий:
4. ксилема;
5.флоэма.

Рис. 8. Рисунок-схема строения центрального цилиндра (стелы) Lophophora diffusa (1). На осевом срезе (2) видно сужение центрального цилиндра в зоне гипокотиля. На поперечном срезе корня (В) отчетливо видно 4 сегмента.
В стеблевой части (А) центральный цилиндр образует многосегментную трубку. Зона гипокотиля (Б) является основой реповидного расширения корня и характеризуется переходным двухсегментным строением центрального цилиндра (б), по расположению проводящих элементов и камбия она близка к стеблевому участку стелы, что позволяет успешно прививать кактусы, делая срез в этой зоне.
Непосредственно за зоной всасывания расположена зона ветвления, покрытая корневой корой. Внутреннее строение корня отличается от строения других органов. Это хорошо видно на его поперечном разрезе. Главное отличие в том, что корень не имеет сердцевины, а клетки ксилемы (древесины) и флоэмы (луба) расположены радиально. Между флоэмой и ксилемой лежат сегменты меристематической ткани – камбия.
Однако, в реповидных корнях, например, у растений родов Roseocactus, Lophophora, Coryphantha и т.п., клетки камбия почти соединены в два полукольца. Все это следует учитывать при прививке кактусов, т.к. четырехсегментную корневую часть практически невозможно привить (о чем будет сказано позднее).
Процесс поглощения корнями минеральных солей и органических веществ из почвы сводится к обменным реакциям между клетками корня (корневыми волосками) и почвенным поглощающим комплексом, представленным коллоидным раствором органических и минеральных веществ.
Обменные реакции значительно облегчаются тем, что корневые волоски обычно тесно слипаются с частичками почвы. Углекислый газ, органические кислоты и некоторые ферменты, выделяемые клетками корня, играют большую роль в поглощении труднорастворимых почвенных соединений. Постоянно выделяя в почву различные органические вещества, корни как бы притягивают к себе бактерии, которые образуют вокруг них обильное скопление (с другой стороны, эти же вещества оказывают тормозящее действие при загущенной посадке сеянцев). Микроорганизмы способствуют переводу минеральных и органических соединений в форму, доступную для растений.
Большое влияние на усвоение веществ почвы корнями и на деятельность микроорганизмов оказывает кислотность субстрата.
Стебель
Неугасаемая популярность кактусов базируема, прежде всего, на необычности формы их стебля. Внешний вид стебля (габитус) у различных видов настолько своеобразен, что кактусы невозможно спутать с растениями, принадлежащими к другим семействам и, наоборот, есть суккуленты, очень похожие на них. В семейство Cactaceae входит более 5000 видов и разновидностей, отличающихся, прежде всего, размером и формой стебля.
Высота стебля у взрослых кактусов варьирует в огромных пределах: от 1 см (Blossfcldia sp. sp.) до 15 —18м (Carncgia sp.) диаметр – от 0,5 см до 1,5 м и даже более (Echinocactus sp.sp.),
На фотографиях или в фильмах мы привыкли видеть «типичный» американский ландшафт с выделяющимися на фоне неба колоннами цереусовых кактусов или причудливыми нагромождениями лепешек опунций. Однако это далеко не полный калейдоскоп форм стебля.
Кактусы могут выглядеть и как типичные облиственные деревья и кустарники, и как своеобразные деревья, кустарники, дернины, у которых каждый «лис г» представляет собой побег-членик. Встречаются стебли, напоминающие не только колонны, но и канделябры, лианы, цилиндры, шары, «подушки», покрытые разнообразными по форме и окраске колючками, пухом, волосками. Есть представители с ползучей и прямостоячей формой стебля. Некоторые виды имеют лазающие стебли с цепляющимися за опору воздушными корнями. А у эпифитных кактусов стебли свисают вниз, как плети.

Рис. 9, Форма стебля у опунциевых кактусов: А – древовидная; Б – кустовидная; В – подушковидная (по W.Rauh).
Морфологически стебель – это осевой орган неограниченного роста, нарастающий верхушкой. В ботанике стебель совместно с листьями и почками называется побег. Применительно к кактусам стебель может называться «mew», в соответствии с латинским corpus.
Стебли делятся на основные или центральные и боковые, вырастающие из почек, скрытых в пазухах листьев. По месторасположению эти почки называются пазушными или боковыми. У кактусов пазушные почки представлены ареолами. Как и из пазушных почек, из ареол могут вырастать боковые побеги, которые у кактусов традиционно называются детки или членики. Отсюда процесс образования боковых побегов нередко именуют деткованием, а растения, образующие детки —маточниками. Естественно, это не вполне ботанические, но часто употребляемые термины.
Изначально многие виды имеют одиночные стебли, но с возрастом довольно часто на стебле вырастают боковые побеги. Не редки кочко– или дерниноподобные формы, образованные множеством небольших боковых побегов.
Иногда апикальная точка роста стебля делится на 2 и более частей и, таким образом, стебель начинает ветвиться от самой верхушки. У некоторых видов подобное деление закреплено в генах и является отличительным признаком. При дихотомическом делении стебля апекс делится пополам, затем каждая часть – еще пополам и так далее. В результате формируется дернина, образованная не боковыми побегами, а частями стебля.
Стебель у кактусов многолетний, и только у Opuntia chaffeyi он отмирает при неблагоприятных условиях.
Лишившись листьев, кактусы были вынуждены изменить форму стебля. И если побеги перескиевых кактусов еще похожи на стебли древесного растения, то у опунциевых и цереусовых кактусов они во многом отличаются. Стебель стал функционировать, во-первых, как орган органического питания и дыхания растения и, во-вторых, как место накопления запаса питательных веществ и, главным образом, воды. Количество ее в стебле кактуса достигает 96% [Вемер] и даже в засушливые периоды не снижается менее 60 – 70%. Поэтому кактусы для животных аридных зон являются резервуарами воды.
По строению стебель двудольных древесных растений значительно отличается от стебля двудольных трав. Стебель кактусов занимает как бы промежуточное положение. Эти растения сочетают в себе крепость, упругость деревьев и мягкость, пластичность трав.

Рис.12. Схема строения стебля кактуса:
Ц – центральный цилиндр;
Ф – флоэма;
К – камбий;
Кс – ксилема;
С – сердцевина.
ЗТ – запасающая ткань;
Э – эпидермис (кожица);


эпидермис флоэма сердцевина ксилема Фото 23. Продольный срез части стебля Eriocereus jusbertii
Фото 22. Продольный срез побега Pe[i]reskiopsis porteri
Фото 24. Поперечный срез стебля Discocactus spinosior.

эпидермис, покрытый кутикулой
Фото 25. Поперечный срез стебля Eriocereus jusbertii.
На поперечном срезе стебля кактуса видно расположенное в центре, состоящее из проводящих пучков кольцо, которое называют камбиальным. У безлистных кактусов диаметр этого кольца во много раз меньше внешнего диаметра стебля.
Камбиальное кольцо неоднородно. При увеличении четко выделяются три основных слоя. Средний слой (собственно камбий) состоит из почти одинаковых, постоянно делящихся клеток. Эти клетки растут, развиваются и формируют ткань ксилемы, ближе к центру, и флоэмы—к периферии. С возрастом клетки ксилемы и флоэмы грубеют, их стенки становятся прочнее. Поэтому при укоренении или прививке кактусов следует помнить, что успешнее эти операции проходят на срезе с «молодым» камбиальным кольцом, т.е. на неодревесневшей зеленой части стебля.
В стебле происходит постоянное перемещение веществ: органических, преимущественно, вниз и минеральных – вверх. Такое движение веществ в растении идет по различным тканям: по ксилеме – восходящий ток и по флоэме—нисходящий.
Древесина кактуса легкая, но прочная, ажурного строения. Хотя она и не имеет хозяйственного значения, но иногда используется для изготовления различных поделок и сувениров. Зачастую древесный скелет столбовидного кактуса в виде вертикальных прутьев долго остается напоминанием о погибшем растении.
В центре камбиального кольца расположены клетки сердцевины, а пространство от камбиального кольца до внешних покровов – эпидермиса занято паренхимной запасающей тканью, представляющей собой разросшиеся клетки первичной коры (т.е. той тоненькой кожицы, которая покрывает зародыш семени). Цитоплазма клеток этой ткани студенистая, в виде густого коллоида, что способствует быстрому всасыванию воды, особенно конденсированной (росы), удержанию ее в клетке. Густая цитоплазма обеспечивает сильный ток воды и минеральных веществ от корня в стебель.
В клетках запасающей ткани происходит синтез органических веществ, некоторые из них могут оказывать воздействие на организм человека: широко известно использование кактусов из рода Lophophora в лечебных или культовых целях.
От центрального цилиндра к ареолам отходят проводящие пучки. Проводящих пучков в стебле мало, они простые, с преобладанием флоэмы, поэтому движение питательных веществ и воды в толще стебля чаще происходит путем осмоса, т.е. пассировки их от клетки к клетке.
Mammillaria dioica

Ferocactus townsendianus

Opuntia pilifera

Maihuenia patagonica при
Увеличении
в 250 раз

Ferocactus townsendianus при увеличении в 620 раз
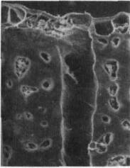
Фото 26 – 30. Древесина кактусов (по A.Gibson и P.Nobel).

Werckleocereus tonduzii толщина эпидермиса и кутикулы 0,12мм

Pachycereus pringlei 0,25 мм

Stenocereus gummosus
0,25 мм
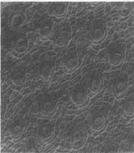
Фото 31 – 33. Микрофотографии эпидермиса и кутикулы кактусов
(по A.Gibson и P.Nobel).

Фото 34. Участок стебля Obregonia denegrii (по E.Anderson).
У поверхности почвы покровные ткани могут иметь пробкоподобную структуру, большая же часть стебля покрыта тонкой эластичной «кожицей», имеющей способность очень сильно растягиваться. Клетки эпидермиса имеют зеленый цвет, т.к. в них находятся хлоропласты, содержащие зеленый пигмент хлорофилл, однако у горных растений они чаще бурой, красноватой, фиолетовой или белесой окраски из-за преобладания пигментов каротина, ксантофилла и некоторых других, а бесхлорофильные формы отличаются красной, оранжевой, желтой или лиловой окраской стебля.
По поверхности стебля разбросаны крошечные отверстия—устьица, через которые происходит газообмен и испарение воды—транспирация. Количество устьиц на 1 мм2довольно велико, в среднем около 40*, что объясняется необходимостью обеспечения полного газообмена в клетках запасающей ткани. При этом наблюдается закономерность: чем толще запасающая ткань, тем больше устьиц, с одной стороны, и чем больше устьиц, тем тоньше и эластичнее эпидермис.
При увеличении видно, что устьица состоят из двух запирающих клеток с неодинаковой толщиной запирающих и противоположных им клеточных стенок. Когда количество влаги в этих клетках повышается, т.е. они набухают, щель между ними увеличивается. При оттоке воды из устьичных клеток их запирающие поверхности сближаются, и щель закрывается. В устьичных клетках имеются биологические аккумуляторы энергии – хлоропласты, таким образом, можно сказать, что устьица «работают» в автономном режиме.
По поверхности эпидермиса разбросаны специальные клетки, выделяющие воск. Слой воска на стебле называется кутикулой. Кутикула защищает более нежные клетки от перегрева и потери влаги.
Кактусы аридных зон для защиты от механических повреждений и чрезмерного испарения влаги из стебля могут быть покрыты также и крапом или опушением (напр, кактусы из pozaAstrophytum). Иногда эпидермис покрыт частыми мелкими порами (род Neogomesia, Uebelmannia, некоторые Gymnocalycium sp.sp. и др.). Интересно, что эти поры являются следами специализированных отмерших клеток, в цитоплазме которых образуются кристаллы органических кислот или их солей (чаще оксалата кальция). Подобные кристаллы очень гигроскопичны и способны абсорбировать воду даже при минимальной влажности воздуха.

Рис.13. Схема строения устьиц (А) и поперечный разрез устьичной щели (Б): 1. хлоропласты ;
2. ядра запирающих клеток; 3. запирающие клетки.
у некоторых тропических эпифитных кактусов количество устьиц на J мм2 может быть 10 —20, в то время как у некоторых опуициевых кактусов количество устьиц достигает 800 на 1 мм2
Stenocereus gummosus
участок площадью
0,75 мм2
Stenocereus gummosus участок площадью
0,02 мм2
Stenocereus alamosensis участок площадью 0,02 м
Фото 35 – 37. Электронные фотографии поверхности эпидермиса кактусов
(по A.Gibson и P.Nobel)
Leptocereus weingartianus
(кристаллы 0,02 мм)

Deamia testudo (кристаллы 0,03 мм)




























