Текст книги "Деменции"
Автор книги: Анастасия Локшина
Соавторы: Элен Мхитарян,Вл Захаров,Надежда Коберская,Анастасия Локшина
Жанр:
Медицина
сообщить о нарушении
Текущая страница: 4 (всего у книги 25 страниц)
Электрофизиологические методы исследования
Электрофизиологические методы исследования играют вспомогательную роль в диагностике и дифференциальной диагностике когнитивных и других нервно-психических нарушений [4]. Рутинная ЭЭГ может оставаться неизмененной или выявлять неспецифические изменения в виде увеличения медленноволновой активности головного мозга. В некоторых случаях дифференциально-диагностическое значение имеет преимущественная локализация медленноволновой активности. Так, при БА зона замедления биоэлектрических ритмов головного мозга обычно расположена преимущественно в височных и тетиных долях, в то время как при лобно-височной дегенерации – в лобных и височных долях головного мозга. Однако указанный признак не обладает высокой надежностью и должен рассматриваться лишь в совокупности с другими клиническими и инструментальными данными. Диагностически значимым является ЭЭГ-исследование при эпилепсии, внутричерепных объемных процессах, при некоторых инфекционных заболеваниях – герпетическом энцефалите, болезни Крейтцфельдта-Якоба и др.
Более информативным электрофизиологическим методом является исследование когнитивных вызванных потенциалов. С помощью данной методики возможно выделение и анализ той электрофизиологической активности головного мозга, которая возникает при умственной работе. Обычно во время исследования когнитивных вызванных потенциалов пациенту дается задание на опознание информации слуховой или, реже, зрительной модальности. При этом в ответ на появление определенной информации пациент должен совершить определенное действие (например, нажать на кнопку). Анализируются поздние компоненты слуховых или зрительных вызванных потенциалов, которые отражают когнитивную составляющую деятельности. Они возникают в среднем через 300 мс после сенсорной стимуляции (компонент Р300). Наличие когнитивных нарушений сопровождается увеличением латентного периода компонента Р300. Сопоставление с результатами нейропсихологического исследования свидетельствует, что наиболее надежно данный показатель соответствует показателям внимания. Таким образом, исследование когнитивных вызванных потенциалов позволяет получить электрофизиологическое подтверждение наличия у пациента нарушений когнитивных функций. Более трудная задача – дифференциальная диагностика различных видов когнитивных расстройств. На сегодняшний день продолжается накопление опыта о специфических особенностях изменения компонента Р300 при когнитивных нарушениях различного характера.
Нейровизуализационные методы исследования
Важнейшую информацию о характере основного заболевания, которое лежит в основе когнитивных и других нервно-психических расстройств органической природы дает нейровизуализация. Основным методом нейровизуализации, который используется в повседневной клинической практике, является компьютерная рентгеновская и магнитно-резонансная томография головного мозга. Меньшее распространение имеют позитронно-эмиссионная и однофотонно-эмиссионная КТ, прежде всего, из-за сложности и дороговизны методик. В настоящее время ПЭТ и ОФЭКТ применяются в основном в исследовательских целях.
Всем пациентам с выраженными и/или прогрессирующими когнитивными нарушениями показано выполнение нейровизуализации: предпочтительнее магнитно-резонансная томография либо при ее невозможности компьютерная рентгеновская томография [6, 16, 18]. Результаты МРТ или КТ головного мозга имеют большое значение в ведении пациента, так как:
• позволяют получить дополнительные подтверждения органического характера нервно-психических расстройств;
• помогают исключить угрожающие жизни состояния, такие как опухоль мозга или другие объемные процессы;
• предоставляют дополнительную информацию о структурных особенностях основного патологического процесса, важную для дифференциальной диагностики церебральных заболеваний с картиной нервно-психических расстройств.
Важной задачей нейровизуализации является диагностика угрожающих жизни состояний, таких как инсульт, опухоль мозга или другие объемные процессы, в клинической картине которых также могут присутствовать когнитивные и иные нервно-психические расстройства. Клинически заподозрить онкологическую природу когнитивных нарушений следует при подостром развитии данных расстройств, их сочетании с очаговой неврологической симптоматикой, особенно односторонней, развитии признаков внутричерепной гипертензии.

Рис. 2.2. Идиопатическая нормотензивная гидроцефалия.
а. Сагиттальный срез МРТ головного мозга в Τ1-режиме,
б. Аксиальный срез МРТ головного мозга в Т2-режиме. Стрелками показано расширение боковых желудочков.
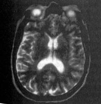
Нейровизуализация играет важную роль в диагностике одной из потенциально обратимых форм деменции – нормотензивной гидроцефалии. При этом KT или МРТ головного мозга выявляет преимущественно внутреннюю гидроцефалию, максимально выраженную в области передних рогов боковых желудочков (рис. 2.2).
Наличие сосудистых изменений на KT или МРТ головного мозга является обязательным для подтверждения сосудистой этиологии когнитивных нарушений. При этом наиболее надежным диагностическим признаком являются инфаркты мозга, которые проявляются в виде различного диаметра кист («завершенные инфаркты») или очаговых изменений белого и серого вещества без формирования кисты («незавершенные инфаркты»). Диффузные изменения белого вещества (лейкоареоз) также чаще всего отражают наличие сосудистой мозговой недостаточности, но в небольшом числе случаев могут быть следствием дисметаболических, инфекционных, ликвородинамических, инволютивных и других патологических процессов (рис. 2.3).

Рис. 2.3. МРТ головного мозга пациента с сосудистой деменцией. Множественные лакунарные инфаркты (7), симметричное расширение боковых желудочков (2), перивентрикулярный (3) и субкортикальный (4) лейкоареоз.
Основным нейровизуализационным признаком дегенеративных заболеваний головного мозга является прогрессирующий атрофический процесс, локализация, характер и степень которого зависят от нозологической формы и тяжести заболевания. Следует оговориться, что имеются некоторые ограничения в интерпретации данных, полученных при KT или МРТ у пациентов с предполагаемыми нейродегенеративными заболеваниями. Так, расширение субарахноидальных пространств в определенных отделах головного мозга необязательно связано с текущим патологическим процессом, но может быть врожденным и представлять собой индивидуальную норму или быть обусловленным нормальным старением. Поэтому убедительное заключение о наличии диагностически значимого атрофического процесса иногда можно сделать на основании повторных нейровизуализационных исследований с интервалом около 6 мес.
С другой стороны, на начальных стадиях нейродегенеративных процессов структурные атрофические изменения могут отсутствовать или быть выражены в минимальной степени. В этом случае отсутствие изменений при рутинных KT– или МРТ-исследованиях необязательно противоречит предполагаемому диагнозу того или иного дегенеративного заболевания. Более высокой чувствительностью на начальных стадиях нейродегенеративных заболеваний обладают методы функциональной визуализации, такие как ПЭТ и ОФЭКТ. Применение данных методик позволяет выявить изменения церебрального метаболизма и перфузии еще до формирования клинически значимой церебральной атрофии.
Как уже отмечалось выше, локализация структурных или функциональных изменений зависит от конкретной нозологической формы нейродегенеративного процесса. Так, для болезни Альцгеймера характерно преимущественное поражение глубинных отделов височных долей (атрофия гиппокампа) и коры теменных долей головного мозга (см. рис. 2.1). При деменции с тельцами Леви отмечается значительное расширение задних рогов боковых желудочков, что свидетельствует о теменно-затылочной атрофии (рис. 2.4). Лобно-височная дегенерация характеризуется атрофией лобных и передних отделов височных долей головного мозга, часто только с одной или преимущественно с одной стороны (рис. 2.5).
Алгоритм диагностического поиска
Жалобы на снижение памяти или других когнитивных способностей, высказанные пациентом или его близкими, являются основанием для проведения специальной клинико-психологической оценки когнитивной сферы. Такая оценка должна включать как минимум скрининговые нейропсихологические шкалы, такие как Краткая шкала оценки психического статуса, Батарея тестов для оценки лобной дисфункции и тест рисования часов. Если указанные методики выявляют нарушения, можно предположить наличие у больного тяжелых или умеренных когнитивных расстройств. При этом диагноз тяжелых когнитивных расстройств правомерен в тех случаях, когда отмечается профессиональная и/или социальная дезадаптация в результате имеющихся нарушений.
Если же пациент сохраняет независимость и самостоятельность большую часть времени и лишь иногда испытывает затруднения (преимущественно в новых и необычных видах активности), речь идет о синдроме умеренных когнитивных нарушений. В тех случаях, когда для выявления когнитивных нарушений простых скрининговых шкал недостаточно, но необходимо применение более чувствительных нейропсихологических методик, а нарушения не оказывают клинически значимого влияния на повседневную жизнь, тяжесть нарушений следует определить как легкую [2, 6, 7].

Рис. 2.4. МРТ головного мозга пациента с деменцией с тельцами Леви. Расширение боковых желудочков, максимально выраженное в области задних рогов.

Рис. 2.5. МРТ головного мозга пациента с лобно-височной дегенерацией. Атрофия коры лобных долей головного мозга (белая стрелка), больше слева, внутренняя гидроцефалия (черная стрелка).
Вслед за установлением синдромального диагноза легких, умеренных или тяжелых когнитивных нарушений необходимо определить характер нарушений. Когнитивные расстройства различной степени выраженности могут развиваться непосредственно в результате органического поражения головного мозга или носить вторичный характер по отношению к эмоциональным расстройствам или нарушениям сознания.
Когнитивные нарушения, вторичные по отношению к эмоциональным расстройствам, отмечаются в структуре умеренной или выраженной депрессии (так называемый когнитивный синдром депрессии). Всем пациентам с когнитивными нарушениями, независимо от их тяжести, следует проводить оценку эмоционально-аффективной сферы, как с помощью клинических методов, так и психометрических шкал. Наличие выраженной депрессии позволяет заподозрить вторичный характер когнитивных нарушений. Подтверждает данное предположение положительная динамика когнитивных функций на фоне терапии антидепрессантами при достижении регресса эмоциональных расстройств. В том случае, если, несмотря на компенсацию эмоционального состояния, выраженность когнитивных нарушений существенно не меняется, речь идет о параллельно протекающих нервно-психических расстройствах [1, 16, 18].
Когнитивные расстройства, связанные с нарушениями сознания, обычно отмечаются в рамках делирия. Делирий – это острое состояние спутанности сознания, которое сопровождается выраженными мнестико-интеллектуальными нарушениями. Заподозрить делирий следует во всех случаях острого или подострого развития когнитивных нарушений и при наличии заметных колебаний выраженности расстройств, например, в зависимости от времени суток. Обычно делирий сопровождается дезориентировкой в месте и времени, психомоторным возбуждением и психопродуктивной симптоматикой в виде бреда и галлюцинаций. Однако указанные признаки не обязательны для диагноза. Обязательным является наличие выраженных когнитивных нарушений, связанных с помрачением или спутанностью сознания [16, 18].
Основные причины делирия в пожилом возрасте указаны в таблице 2.1.
Таблица 2.1
Основные причины делирия в пожилом возрасте
| • Дисметаболические нарушения: дегидратация, печеночная или почечная недостаточность, гипоксия, гипо– или гипергликемия, острые интоксикации. |
| • Инфекционные заболевания: пневмония, мочевая инфекция, любая инфекция с высокой лихорадкой. |
| • Травма: черепно-мозговая травма, в том числе легкая, переломы конечностей. |
| • Оперативные вмешательства (в особенности с использованием общей анестезии). |
| • Декомпенсация сердечной или дыхательной недостаточности. |
При установлении причины делирия и своевременной коррекции дисметаболических или иных нарушений уровень сознания восстанавливается, что сопровождается значительным улучшением когнитивных функций. Однако когнитивные способности редко возвращаются к предделириозному состоянию. Чаще по выходе из состояния острой декомпенсации отмечается некоторое снижение когнитивных функций по сравнению с исходным уровнем.
В тех случаях, когда когнитивные нарушения не связаны с эмоциональными расстройствами или нарушением сознания, но являются непосредственным следствием органического поражения головного мозга, следует определить причину нарушений, т. е. установить нозологический диагноз.
Нозологический диагноз базируется на анамнестических данных, характере очаговой неврологической симптоматики, качественных особенностях когнитивных расстройств, результатах инструментальных методов исследования.
При сборе анамнеза заболевания особое внимание следует уделять началу и характеру формирования когнитивных нарушений. Начало исподволь, в пожилом возрасте, постепенное, но непрерывное прогрессирование нарушений весьма специфичны для болезни Альцгеймера и других дегенеративных заболеваний головного мозга. Подострая манифестация когнитивных нарушений и быстрое их прогрессирование требуют исключения дисметаболической энцефалопатии, нормотензивной гидроцефалии, хронической субдуральной гематомы, опухоли головного мозга, болезни Крейтцфельдта-Якоба. Острая манифестация нарушений в первые месяцы после инсульта, чередование периодов стационарного состояния и резких ухудшений весьма характерны для сосудистых или смешанных (дегенеративных и сосудистых) когнитивных расстройств. Непрерывное прогрессирование с эпизодами резкого ухудшения характерно для смешанных сосудисто-дегенеративных нарушений или Деменции с тельцами Леви.
Клинический неврологический осмотр является важной составной частью обследования пациента с когнитивными нарушениями. Изолированное поражение когнитивных функций при отсутствии в неврологическом статусе Шаговых патологических изменений характерно для болезни Альцгеймера с легкой или умеренной деменцией. При сосудистых и смешанных сосудисто-дегенеративных когнитивных расстройствах неврологическая симптоматика, напротив, характерна и может быть выражена в разной степени. При этом в неврологическом статусе определяется синдром дисциркуляторной энцефалопатии, в структуру которого входят представленные в разной степени пирамидные, экстрапирамидные, атактические и псевдобульбарные расстройства, нарушения походки и тазовых функций. Сочетание когнитивных нарушений с экстрапирамидными расстройствами характерно для заболеваний с преимущественным поражением подкорковых базальных ганглиев (паркинсонизм, хорея Гентингтона и др.), а также для деменции с тельцами Леви. При лобно-височной дегенерации когнитивные расстройства сочетаются с так называемыми примитивными рефлексами: орального автоматизма, хватательным, феноменом противодержания и др.
Важно помнить, что когнитивные нарушения не всегда развиваются в результате первичного церебрального заболевания. Поэтому, помимо оценки неврологического статуса, абсолютно необходимым является общее соматическое исследование и проведение лабораторного скрининга наиболее частых причин дисметаболической энцефалопатии (см. выше). Выявление клинически значимых дисметаболических нарушений требует проведения соответствующих мероприятий с целью их скорейшей коррекции. Регресс на этом фоне когнитивных нарушений подтверждает диагноз дисметаболической энцефалопатии. Если, несмотря на нормализацию показателей системного метаболизма, когнитивные нарушения сохраняются, необходимо вновь вернуться к детальному анализу данного клинического случая.
Существенную для установления нозологического диагноза информацию дает анализ качественных особенностей когнитивных нарушений. Преобладание нарушений памяти на текущие события над другими когнитивными расстройствами характерно для болезни Альцгеймера или для смешанных, сосудисто-дегенеративных когнитивных расстройств. Нарушения памяти в сочетании с выраженными зрительно-пространственными нарушениями типичны для деменции с тельцами Леви. Доминирование в клинической картине нарушений лобных регуляторных (управляющих) функций (обобщения, выявление сходств и различий, вынесение умозаключений, произвольное внимание) в сочетании со зрительно-пространственными нарушениями характерно для сосудистой деменции и заболеваний с преимущественным поражением подкорковых базальных ганглиев. Дизрегуляторные расстройства в сочетании с речевыми нарушениями отмечаются при лобно-височной дегенерации, для которой также весьма характерны выраженные поведенческие расстройства, связанные со снижением критики.
Нередко для установления точного нозологического диагноза требуется динамическое наблюдение за пациентом. По опыту специализированных «клиник памяти», в течение первых 2 лет наблюдения всегда остается большая или меньшая вероятность пересмотра первичного диагноза [6, 18]. Однако время не должно быть упущено для диагностики и терапии частично или полностью потенциально обратимых когнитивных нарушений, к числу которых относятся дисметаболическая энцефалопатия, нормотензивная гидроцефалия, опухоли мозга и когнитивные нарушения при депрессии.
Лечение
Этиотропная и патогенетическая терапия нервно-психических нарушений органической природы имеет в настоящее время весьма ограниченные возможности. Однако в подавляющем большинстве случаев доступна симптоматическая терапия, которая позволяет уменьшить выраженность когнитивных и других нервно-психических нарушений и тем самым повысить качество жизни пациентов и их ближайших родственников.
Коррекция соматических нарушений и дисметаболических расстройств. Этиотропная терапия когнитивных нарушений на сегодняшний день существует в отношении так называемых потенциально обратимых когнитивных расстройств, к которым относятся прежде всего нарушения дисметаболической природы. Дисметаболические расстройства являются самостоятельной причиной выраженных когнитивных нарушений приблизительно в 5 % случаев; однако еще в 20–25 % они отягощают расстройства, связанные с первичным структурным церебральным поражением. Поэтому одной из первых задач врача после диагностики когнитивных нарушений является всесторонняя оценка состояния пациента и максимально полная коррекция сопутствующих соматических заболеваний. Большое значение для когнитивных функций имеет адекватное лечение заболеваний сердечно-сосудистой и дыхательной системы, печени, почек, щитовидной железы, восполнение недостатка витаминов, сбалансированное питание и прием жидкости [18].
Лечение деменции. Основными факторами, определяющими стратегию терапии когнитивных нарушений, являются выраженность нарушений и их этиология. При наличии тяжелых когнитивных нарушений (деменции) в рамках болезни Альцгеймера, деменции с тельцами Леви, сосудистой и смешанной (сосудисто-дегенеративной) деменции, а также болезни Паркинсона показано назначение ингибиторов ацетилхолинэстеразы и/или конкурентного блокатора NМDА-рецепторов мемантина.
Ингибиторы ацетилхолинэстеразы центрального действия, блокируя расщепление ацетилхолина в синаптической щели, способствуют усилению ацетилхолинергической нейротрансмиссии в головном мозге. Как известно, ацетилхолинергическая система играет ключевую роль в процессах концентрации внимания и запоминания новой информации. Поэтому усиление ацетилхолинергической нейротрансмиссии на фоне применения ингибиторов ацетилхолинэстеразы сопровождается улучшением памяти, внимания и других когнитивных функций. Клинический опыт свидетельствует, что на фоне применения ингибиторов ацетилхолинэстеразы отмечаются регресс выраженности когнитивных нарушений, нормализация поведения пациентов, повышение их способности к самообслуживанию и к другой повседневной Деятельности, уменьшение нагрузки на ухаживающих лиц [16, 18].
В настоящее время для лечения деменций используются 4 препарата из группы ингибиторов ацетилхолинэстеразы:
• Донепезил (арисепт). Является селективным ингибитором ацетилхолинэстеразы. Показан положительный эффект данного препарата при БА, сосудистой и смешанной деменции [14, 16]. Назначается по 5 мг 1 раз в день, при недостаточной эффективности доза может быть увеличена до 10 мг/сут.
• Галантамина гидробромид (реминил). Селективный ингибитор ацетилхолинэстеразы, агонист постсинаптических никотиновых рецепторов. Дополнительный никотинергический эффект препарата увеличивает его терапевтические потенции в отношении концентрации внимания. Эффективность препарата доказана при БА, сосудистой и смешанной деменции [11]. Имеется также некоторый опыт применения данного препарата при БП с деменцией. Назначается по 4 мг 2 раза в день в течение 4 нед., далее доза увеличивается до 8 мг 2 раза в день. При недостаточной эффективности терапевтическая доза может быть увеличена через 4 нед. до 12 мг 2 раза в день.
• Ривастигмин (экселон). Селективный ингибитор ацетилхолинэстеразы и бутирилхолинэстеразы. Ингибирование обеих холинэстераз в синаптической щели потенциально может обеспечивать более продолжительный терапевтический эффект, что повышает преимущества экселона в лечении пресенильных и быстро прогрессирующих форм деменции. Доказана эффективность экселона при БА, ДТЛ и БП с деменцией [16, 18]. Имеется также определенный положительный опыт применения данного препарата при сосудистой и смешанной деменции. Назначается по 1,5 мг 2 раза в день в течение 4 нед., далее по 3,0 мг 2 раза в день. При недостаточной эффективности следует увеличивать дозу с интервалом в 4 нед. до 4,5 и 6 мг 2 раза в день. В настоящее время экселон выпускается в виде капсул, питьевого раствора и пластыря. Использование питьевого раствора позволяет применять препарат у пациентов с нарушениями глотания, а также подобрать максимально переносимую дозу для данного индивидуума. Использование пластыря позволяет сделать применение данного препарата более удобным и уменьшает риск побочных эффектов.
• Ипидакрин (нейромидин). Неселективный ингибитор ацетилхолинэстеразы и блокатор калиевых каналов. Имеет относительно небольшой опыт применения при деменциях. В нескольких небольших двойных слепых исследованиях был показан положительный эффект данного препарата при БА, сосудистой и смешанной деменции [2]. Начальная доза – 10 мг 2 раза в день. Доза увеличивается на 10 мг 2 раза в день с интервалом в 2 нед. Терапевтическая доза составляет 40 мг 2 раза в день.
Все используемые сегодня современные ингибиторы ацетилхолинэстеразы обладают сопоставимой эффективностью. По достижении терапевтической дозы положительный эффект отмечается приблизительно у 50–70 % пациентов. Он выражается в улучшении или стабилизации памяти, других когнитивных функций, регрессе поведенческих нарушений, повышении или стабилизации уровня независимости и самостоятельности. При отсутствии положительного эффекта назначенный препарат следует заменить на другой препарат из группы ингибиторов ацетилхолинэстеразы. При этом можно получить значительно больший эффект, так как существуют индивидуальные варианты терапевтического ответа на различные препараты.
При достижении удовлетворительного терапевтического эффекта назначенный препарат оставляют на неопределенно долгое время, в ряде случаев – пожизненно. Как правило, достигнутое в начале терапии улучшение сохраняется в течение 6-12 мес. Затем, в силу естественного прогрессирования заболевания, возможно нарастание выраженности когнитивных и других нервно-психических расстройств. Последнее, однако, не говорит об «истощении» терапевтического эффекта, так как в отсутствие ацетилхолинергической терапии прогрессирование нервно-психических расстройств идет более быстрыми темпами. Отмена препарата допустима лишь на стадии тяжелой деменции, когда нет уверенности в его эффективности. Однако и в этих случаях отмена ацетилхолинергического препарата должна быть постепенной и осторожной.
Приблизительно у 10–15 % пациентов, получающих ацетилхолинергическую терапию, возникают побочные эффекты в виде тошноты, рвоты, диареи, потери аппетита и снижения веса. В этих случаях рекомендуется уменьшить используемую дозу препарата, так как побочные эффекты носят дозозависимый характер. Однако в тех случаях, когда побочные эффекты препятствуют достижению терапевтической дозы, используемый препарат следует поменять на другой ингибитор ацетилхолинэстеразы, который может обладать лучшей переносимостью. Особая осторожность необходима при использовании ингибиторов ацетилхолинэстеразы у пациентов с заболеваниями печени, синдромом слабости синусового узла, брадикардией, бронхиальной астмой, язвенной болезнью желудка и двенадцатиперстной кишки, эпилепсией. Ингибиторы ацетилхолинэстеразы противопоказаны при тяжелой почечной и печеночной недостаточности (табл. 2.2)
Таблица 2.2
Показания, противопоказания и побочные эффекты ацетилхолинергической терапии (донепезил, ривастигмин, галантамин, ипидакрин)
| БА | • Печеночная недостаточность | Синдром слабости синусового узла | Головокружение |
| Сосудистая деменция | Почечная недостаточность | Брадикардия | Тошнота |
| Смешанная Деменция | Тяжелая бронхиальная астма | Рвота | |
| Деменция с тельцами Леви | Обострение язвенной болезни желудка или двенадцатиперстной кишки | Диарея | |
| Деменция при болезни Паркинсона | Неконтролируемая эпилепсия | Анорексия | |
| Заболевания печени | Потеря веса |
Из неацетилхолинергических препаратов доказанной эффективностью при когнитивных нарушениях различной этиологии обладает мемантин [2, 16]. Мемантин представляет собой обратимый блокатор постсинаптических НМДА-рецепторов глутамата. Применение мемантина повышает порог генерации потенциала возбуждения постсинаптической мембраны, но не блокирует глутаматергический синапс полностью. Другими словами, при воздействии мемантина для передачи возбуждения необходимы более значительные концентрации глутамата в синаптической щели. Известно, что при БА, сосудистой мозговой недостаточности и других церебральных заболеваниях с картиной тяжелых когнитивных нарушений активность глутаматергической системы повышается и в синаптическую щель выделяется больше медиатора. Таким образом, применение мемантина при когнитивных нарушениях различной этиологии способствует нормализации паттерна глутаматергической передачи, что лежит в основе нейропротекторного и положительного симптоматического эффекта данного препарата.
Данные рандомизированных исследований и опыт широкого клинического применения свидетельствуют, что применение мемантина способствует улучшению когнитивных функций, нормализации поведения пациентов с деменцией, повышению их адаптации в повседневной жизни, уменьшает бремя родственников в связи с уходом за пациентами. Показаниями к применению мемантина на сегодняшний день является деменция, связанная с такими заболеваниями, как болезнь Альцгеймера, деменция с тельцами Леви, сосудистая и смешанная сосудисто-дегенеративная деменция, болезнь Паркинсона с деменцией. Активно исследуется эффективность мемантина при других нозологических формах деменции, а также при недементных (умеренных) когнитивных нарушениях.
Мемантин в целом обладает хорошей переносимостью, не влияет на частоту сердечных сокращений, может применяться в терапевтических дозах при заболеваниях печени и почек, не вызывает желудочно-кишечных расстройств. Однако изредка данный препарат оказывает легкий психоактивирующий эффект, поэтому его нецелесообразно назначать на ночь. Ограничением к применению мемантина является неконтролируемая эпилепсия.
Доза мемантина титруется в начале терапии по следующей схеме:
• 1-я неделя – 5 мг 1 раз в день, утром;
• 2-я неделя – 5 мг 2 раза в день, утром и днем;
• 3-я неделя – 10 мг утром, 5 мг днем;
• 4-я неделя и далее постоянно – 10 мг 2 раза в день, утром и днем. Возможно дальнейшее повьшение дозы препарата до 30 мг/сут.
Мемантин может назначаться в качестве монотерапии или в комбинации
с ингибиторами ацетилхолинэстеразы. По некоторым данным, комбинированная терапия оказывает максимально выраженный положительный эффект. Лекарственного взаимодействия между ингибиторами ацетилхолинэстеразы и мемантином не возникает. Целесообразно назначать комбинированную терапию при недостаточной эффективности одного из препаратов, а также при уменьшении эффективности монотерапии в силу естественного прогрессирования заболевания.
Лечение недементных (легких и умеренных) когнитивных нарушений.
Применение ацетилхолинергических препаратов в лечении легких и умеренных когнитивных нарушений дало противоречивые результаты, что, возможно, связано с тем, что развитие ацетилхолинергической недостаточности является относительно поздним событием патогенеза церебральных заболеваний. Однако этот вопрос продолжает обсуждаться и требует дальнейшего исследования. Поэтому на этапе легких и умеренных когнитивных нарушений более целесообразно воздействие на другие нейротрансмиттерные системы: глутаматергическую, норадренергическую, дофаминергическую и др.
К настоящему времени накоплен значительный клинический опыт применения дофаминергического и норадренергического препарата пирибедила при легких и умеренных когнитивных нарушениях возрастного и/или сосудистого характера [3]. Пирибедил является агонистом D2/D3-рецепторов к дофамину и блокатором пресинаптических а2-адренорецепторов. Применение пирибедила способствует усилению не только дофаминергической, но и норадренергической нейротрансмиссии, что весьма выгодно с клинической точки зрения. Известно, что в процессе старения активность дофаминергической системы уменьшается, что коррелирует со снижением активности и гибкости интеллектуальных процессов и концентрации внимания. В то же время активация норадренергической системы играет одну из ключевых ролей в процессе запоминания новой информации. Клинические данные свидетельствуют, что на фоне применения пирибедила в дозе 50-100 мг/сут. у пациентов с легкими и умеренными когнитивными нарушениями отмечается улучшение памяти, внимания, интеллектуальных процессов и психомоторных функций.
При легких и умеренных когнитивных нарушениях в повседневной клинической практике используются препараты с вазоактивным и метаболическим действием [2, 8]. Из препаратов, преимущественно воздействующих на церебральную микроциркуляцию и метаболизм, в клинической практике наиболее часто используются:








