Текст книги "Простое начало. Как четыре закона физики формируют живой мир"
Автор книги: Рагувир Партасарати
Жанр:
Физика
сообщить о нарушении
Текущая страница: 6 (всего у книги 21 страниц) [доступный отрывок для чтения: 8 страниц]
Глава 5. Мембраны: жидкая кожа
Вы развились из единственной клетки – оплодотворенной яйцеклетки. Она разделилась на две клетки, из которых образовались четыре, а затем, после множества делений, перестроений и формоизменений, у вас появилось тело, состоящее из десятков триллионов клеток. И каждая из них ограничена мембраной. Мембрана не только отделяет внутренности клетки от среды, но и служит ареной для контактов клетки с окружением, транспортировки химических веществ и обмена сигналами с соседками.
Мембраны есть и внутри клетки: они ограничивают разные органеллы («маленькие органы»). К органеллам относится, в частности, ядро – хранилище вашего хромосомного набора (крупный овал на рисунке). В органелле под названием эндоплазматический ретикулум, похожей на длинный извилистый мембранный лабиринт (темная сеть каналов), синтезируется множество белков. В митохондриях (небольшие эллипсы с волнистым содержимым) клетка производит вещества, запасающие и переносящие энергию; у этих органелл две мембраны – ровная внешняя и складчатая внутренняя. Однако не у всех существ есть мембранные органеллы[30]30
К органеллам иногда причисляют и рибосомы. Эти молекулярные фабрики по производству белка есть в клетках всех живых существ и всегда лишены мембран.
[Закрыть]: у бактерий и архей, двух из трех доменов живой природы, их нет. Органеллы, однако, широко распространены в третьем домене, у эукариот, к которым относятся животные, растения, грибы и многие одноклеточные организмы вроде амеб.

Каждая клеточная мембрана, в сущности, лист толщиной всего в несколько миллиардных метра, состоящий из липидов. Есть в ней и белки, которые либо пронизывают мембрану, создавая в ней поры, либо примыкают к ней (см. рисунок поперечного среза мембраны). На гены мембранных белков приходится около трети белок-кодирующей части человеческого генома1. Эти белки управляют значительной частью биологической активности и чаще всего становятся фармацевтическими мишенями. Но все же мембраной мембрану делают липиды. Учитывая всю важность мембран, можно было бы ожидать, что их строение четко прописано в геноме и отслеживается каким-то внутренним надзорным механизмом. В действительности, однако, все пускается на самотек: белки производят липиды, а остальное делает самосборка. Физических взаимодействий липидов и воды достаточно, чтобы создать надежный, но динамичный материал. Прежде чем мы узнаем свойства мембран и секреты их образования, давайте рассмотрим что-то более знакомое.

Как создать мембрану
Масло и вода не смешиваются. Если взболтать бутылку с уксусной салатной заправкой, масло быстро соберется в капельки. Предоставленные сами себе, молекулы масла держатся других молекул масла, а молекулы воды – других молекул воды. Как мы узнали из второй главы, вещества вроде масел и жиров, которые отделяются от воды, называются гидрофобными («боящимися воды»), а вещества вроде сахара и уксуса, которые смешиваются с водой, – гидрофильными («любящими воду»).
Липиды и гидрофобны, и гидрофильны. У каждой молекулы липида есть «головка», которая любит воду, и «хвост», которому вода не нравится. Хвост обычно состоит из двух цепочек, химически схожих с молекулами масла[31]31
Цепочки – это остатки длинных жирных кислот.
[Закрыть]. Есть и другие знакомые вам вещества с такими амфифильными наклонностями («любящие и то, и другое»): каждая молекула мыла состоит из гидрофильной головки и гидрофобной хвостовой цепочки – вместе они позволяют мылу цепляться и за жирную грязь, и за воду, которая ее смывает.
Липиды в воде страдают от противоречия, обусловленного их строением: их головки счастливы, а хвосты – нет. Чтобы защитить свои хвосты от воды, молекулы липидов головками наружу спонтанно объединяются в двуслойную листовую структуру. Такой липидный бислой формирует основу всех клеточных мембран.

Липидные мембраны обладают примечательными физическими свойствами. По сути, они двумерны: толщина бислоя приближается к 5 нанометрам (то есть он примерно в 20 тысяч раз тоньше обычного листа бумаги), при этом его протяженность может во много тысяч раз превышать толщину. Мембраны пластичны и способны изгибаться в трех измерениях, причем клетки тщательно контролируют их кривизну.
Мембрана может напомнить вам полиэтиленовый пакет: она такая же тонкая и гибкая. Но между ними есть важное различие. Если маркером поставить точку на пакете, отвернуться и снова посмотреть на него через несколько минут, точка останется на прежнем месте. Если проделать то же самое с липидной мембраной, точка расплывется, а затем исчезнет: помеченные молекулы просто разбредутся по мембране. Липидные бислои и клеточные мембраны в целом – это двумерные жидкости. Подобно тому как молекулы воды в жидкости плавают, не зафиксированные друг относительно друга, липиды и белки перемещаются в пределах мембраны. Эта мобильность, как и другие важные физические свойства мембран, обусловлена природой бислоя: липиды не жестко сцеплены друг с другом, а просто объединяются, чтобы оберегать свои гидрофобные части от воды. Ничто не мешает молекулам петлять между соседками, пока гидрофобная сердцевина бислоя не вступает в контакт с водой.
Молекулярная мобильность – удивительная черта: компоненты мембраны могут перегруппировываться, взаимодействовать друг с другом и даже формировать характерные структуры, помогающие клеткам выполнять разные задачи.
Поразительный пример этого можно наблюдать в вашей иммунной системе, когда Т-клетки взаимодействуют с антигенпредставляющими клетками (АПК)2. АПК захватывают белки из своего окружения, нарезают их и выставляют фрагменты напоказ, прикрепляя их к своим мембранным белкам, торчащим над клеточной поверхностью[32]32
Это белки главного комплекса гистосовместимости, у человека называемые HLA-антигенами.
[Закрыть]. Т-лимфоциты встречаются с АПК, вступают в контакт и изучают представленные им фрагменты, чтобы определить, нормальные ли это молекулы вашего организма или части кого-то чужого, например бактерии или вируса. Во втором случае Т-клетки активируют вашу иммунную систему, подталкивая защитные механизмы к борьбе с очевидным вторжением. Такая реакция на фрагменты чужеродных белков предполагает динамичный молекулярный танец в зоне контакта Т– и АП-клеток: адгезивные белки их мембран связываются друг с другом и начинают сбиваться в группу.

Вокруг них постепенно группируются другие белки – выставляющие или распознающие фрагменты, то есть участвующие в межклеточной сигнализации. Если представить, что взаимодействие двух клеток происходит в плоскости этого листа, то начальная расстановка белков будет выглядеть так, как показано на рисунке слева (адгезивные белки там темные, а сигнальные – светлые). Через несколько минут эта «мишень» инвертируется: сотни сигнальных белков стекутся к центру, а адгезивные окружат их кольцом (правая расстановка).

Эту структуру – иммунологический синапс – обнаружили в середине 1990-х и с тех пор активно изучали, как формируются такие пространственные паттерны и как Т-клетка транслирует их в сигнал собственной активации. Кроме того, ученые обнаружили подобные синапсы и в зонах контакта между иммунными клетками, передающими вирус Т-клеточного лейкоза человека (Т-лимфотропный вирус) либо вирус иммунодефицита человека (ВИЧ, который вызывает СПИД)3. Очевидно, эти вирусы научились взламывать структурообразующий механизм клеток, которые они заражают. Не вдаваясь в тонкости формирования синапсов, отметим лишь, что если бы они не находились в двумерной жидкости, то сигнальные и адгезивные белки Т-лимфоцитов и многие другие мембранные белки прочих клеток не могли бы выполнять динамичные пространственные перестроения, которые требует от них природа.
Белковые и липидные паттерны связаны и с темой предсказуемой случайности. Текучесть мембран позволяет их компонентам перегруппировываться, но привносит факторы неопределенности потока и неупорядоченности. Ни человек, ни клетка не способны знать наперед, где именно окажется каждый липид или белок, но мы можем прогнозировать усредненно свойства целого ансамбля. Глубинную природу случайности и смысл предсказаний прояснит нам шестая глава.
Конусы, сферы и пузыри
Бислой – не единственная структура, которую могут создавать амфифильные молекулы. Представьте молекулу в форме рожка с мороженым, где шарик мороженого – гидрофильная часть, а палочка – гидрофобная (слева на рисунке). В воде такие молекулы самостоятельно соберутся в сферу, чтобы защитить свои гидрофобные части (справа).

Форма молекулы – ключевой определяющий фактор в самосборке. Большинство липидов в вашем организме скорее цилиндрические, чем конические – их гидрофильные головки и гидрофобные хвосты сопоставимы по ширине, – как раз потому они и группируются в относительно плоский бислой. И все же у небольшой доли клеточных липидов форма отличается от цилиндрической – не настолько, чтобы воспрепятствовать образованию бислоя, но достаточно, чтобы обеспечить изгибание мембраны в сложные структуры.
Вам, возможно, интересно, могут ли амфифилы выстраиваться так, чтобы гидрофильные головки оказывались внутри, а гидрофобные хвосты – снаружи. Да, могут, и вы создаете такие структуры всякий раз, когда пускаете мыльные пузыри.

В оболочке пузыря молекулы мыла выстраиваются по обе стороны от тонкой водной пленки гидрофобными хвостами наружу, к воздуху. На глубинном уровне мыльные пленки и клеточные мембраны схожи – не забывайте об этом, когда моете посуду.
Туберкулез и плотные мембраны
В начале XIX века 30 % смертей в Лондоне вызывал туберкулез4, инфекционное заболевание, которое чаще всего поражает легкие. «Белая чума» поражала и убивала множество людей по всему миру и в первые полтора десятилетия XX века по-прежнему не покидала две верхние строки в списке главных причин смерти в США5. Даже сейчас от туберкулеза умирает около миллиона человек в год6. Эту болезнь вызывает бактерия Mycobacterium tuberculosis. Другая микобактерия, Mycobacterium leprae, вызывает лепру, или проказу, еще один бич человечества, тысячелетиями разъедавший кожу и нервную систему своих жертв, пока не появились современные антибиотики. Микобактерии отличаются потрясающей живучестью. Уже лет 100 мы знаем, например, что M. leprae и M. tuberculosis могут многими месяцами обходиться без воды7. Это озадачивает не только потому, что биохимическая активность клетки немыслима без воды. Если гидрофильные головки липидов не контактируют с водой, то как гидрофильным и гидрофобным взаимодействиям сохранять целостность мембраны и как мембране сохранять целостность бактерии?
Оказывается, у микобактерий очень странные мембраны. Как и у клеток всех остальных организмов, их внутренности ограничены липидным бислоем. Однако снаружи этот бислой покрыт густым гидрофобным гелем, над которым находится еще и монослой липидов, маслянистые хвосты которых направлены внутрь, а гидрофильные головки – наружу. Необычно здесь не только расположение липидов, но и их устройство: у многих молекул к гидрофильным головкам прикреплен сахар трегалоза (на рисунке на него указывает стрелка). Насколько мы знаем, микобактерии и некоторые их близкие родственники – единственные на планете организмы, наделенные трегалозными липидами. Но так ли это важно?

Я узнал об этих микобактериальных мембранах лет десять назад, вскоре после того, как основал свою исследовательскую лабораторию в Орегонском университете. К тому времени я уже несколько лет работал с липидными бислоями, в основном измеряя их жесткость и прочие физические свойства, чтобы понять, на что способны эти материалы. Экспериментируя с сахарами и полимерами, я скооперировался с группой химика Каролин Бертоцци, которая тогда работала в Калифорнийском университете в Беркли. По совпадению они тогда интенсивно изучали, как микобактерии создают трегалозные липиды и другие странные молекулы: группа Бертоцци хотела разобраться в выдуманных природой химических инструментах и научиться выводить их из строя, чтобы побеждать болезни. Именно в ходе этого сотрудничества я впервые услышал о трегалозных липидах и сразу же заинтересовался ими, поскольку трегалоза в иных контекстах слыла чуть ли не волшебным сахаром.
Лишь небольшое число организмов, включая некоторые грибы, растения и даже отдельных животных, способны пережить потерю 99 % воды. Так, «воскресающее растение» плаунок чешуелистный (Selaginella lepidophylla) годами выдерживает почти полную дегидратацию, сворачиваясь в плотный коричневатый шарик, который при поступлении воды «оживает», расправляясь в обычную зеленую розетку листьев. У многих из этих организмов есть кое-что общее: они производят трегалозу, часто в огромных количествах. В сравнении с сахарами вроде знакомых нам глюкозы или сахарозы трегалоза менее склонна кристаллизоваться с ростом концентрации, благодаря чему ее молекулам проще взаимодействовать с другими веществами. Кроме того, трегалоза легко формирует водородные связи – те, что скрепляют молекулы воды друг с другом и с разными гидрофильными молекулами: это позволяет сахару в некоторой степени имитировать воду. Но трегалоза, в отличие от воды, не склонна к испарению. Считается, что все эти свойства делают трегалозу фактором устойчивости к иссушению, и ученые ищут способы использовать ее вне организма – чтобы хранить и транспортировать в высушенном состоянии вакцины и биоматериалы типа клеток крови и ценных белков8. Я задумался: а не приспособили ли микобактерии трегалозный инструментарий в связке с липидами для защиты своей клеточной оболочки от обезвоживания? И как же проверить эту гипотезу?
Нельзя было просто отключить у микробов производство трегалозных липидов, а затем проверять их на прочность: о подобных биохимических механизмах микобактерий мы знаем слишком мало, чтобы их менять. Но даже если бы это было в наших силах, я не горел желанием держать в лаборатории возбудителя туберкулеза. (Как мы позже узнаем, моя группа с удовольствием работала с холерными вибрионами, но холеру легко предупредить, сложно подхватить, просто излечить – в отличие от туберкулеза.) Я выбрал другой подход, который уже десятки лет успешно работал с «нормальными» липидными бислоями: воссоздание искусственных бесклеточных мембран на твердых поверхностях. Обычные липиды можно подтолкнуть к формированию бислоев на очень чистых и ровных стеклах. В силу гидрофильности стекла и липидных головок их разделяет водная прослойка толщиной 1–2 нанометра, позволяя бислою сохранять двумерную текучесть. Нам приходится жертвовать долей реализма целостной клеточной мембраны, зато мы получаем удобную контролируемую платформу для изучения биофизики липидного бислоя.
Мы решили попробовать сконструировать аналогичную мембранную платформу, чтобы имитировать небислойную организацию липидов у M. tuberculosis. Сначала мы химически связали гидрофобные молекулы со стеклянными подложками. Отдельно на поверхности воды, заполняющей специальные кюветы, сформировали монослои липидов с торчащими в воздух гидрофобными хвостами и аккуратно перенесли их на стеклянные подложки так, чтобы хвосты связались с уже нанесенным гидрофобным слоем. Наши монослои состояли из вполне распространенных липидов с нужной долей очищенных трегалозных форм. Как и у живых микобактерий, под монослоем с трегалозными липидами у наших искусственных мембран находился плотный гидрофобный слой.

На базе такой платформы мы могли дегидратировать и регидратировать полученную мембрану. Как и ожидалось, монослои исключительно из «обычных» липидов не выживали при высушивании. Зато монослои, почти полностью состоящие из микобактериальных трегалозных липидов, после дегидратации и регидратации оставались невредимыми и даже сохраняли текучесть. Но примечательнее было то, что монослои из смеси обычных и трегалозных липидов выдерживали обезвоживание, пока содержание трегалозных форм в них не падало ниже 25 %. Иными словами, даже находясь в меньшинстве, трегалозные липиды обеспечивали устойчивость мембраны к дегидратации. Вместе с коллегами из лаборатории Бертоцци мы пошли еще дальше: в частности, Дэвид Рабука создал синтетические липиды: их головка содержала трегалозу, а вот хвостовые цепочки были как у других, стандартных липидов. (У природных микобактериальных липидов гигантские гидрофобные хвосты. Можно было предположить, что их цепочки как-то по-особому переплетаются, и именно благодаря такой запутанности, а вовсе не трегалозе, консервируются мембраны.) Эти химерные молекулы спасали мембраны от обезвоживания не хуже микобактериальных липидов, что указывало на саму трегалозу как защитный фактор. Такой результат удовлетворил наших коллег, меня и мою зарождавшуюся исследовательскую группу9.
Очевидно, возбудители туберкулеза и лепры нашли хитрый и надежный способ сопротивляться стрессу, привязывая сахара к липидам и, разумеется, эксплуатируя самосборку липидов в мембраны для формирования своей поверхности. Можно ли сконструировать еще более устойчивые к иссушению слои, например с несколькими трегалозными остатками на молекулу липида, для решения проблемы хранения биоматериалов? Можно ли разрушать связанную с липидами трегалозу, чтобы бороться с туберкулезом? Не знаю, будущее покажет.
Организация двумерной жидкости
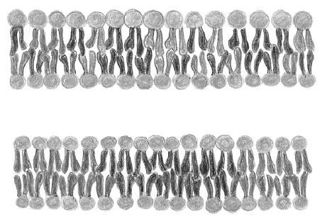
Если вернуться к обычным клеточным мембранам, то двумерная текучесть липидных бислоев создает клетке потенциальную проблему: как ей организовывать свою мембрану, чтобы одни белки кластерировались со своими партнерами, а другие оставались в одиночестве, если мембрана в целом – это жидкость? Можно, например, как делают Т-лимфоциты, связать мембранные белки с внутренним каркасом клетки, рельсы и моторы которого будут направлять их куда надо. А можно выбрать другую тактику, вытекающую из физических свойств самой мембраны и задействующую два типа липидов. Оба формируют текучие бислои, предназначенные для защиты гидрофобных хвостов от воды, но каждый предпочитает окружение себе подобных: липиды А тяготеют к А, а липиды B – к B. Как масло и вода, два типа липидов не смешиваются, однако их сегрегация ограничивается двумерным пространством бислоя. В последние десятилетия XX века ученые поняли, что подобная сегрегация в стандартном наборе мембранных липидов вполне возможна. Гидрофобные хвосты разных липидов могут быть как относительно жесткими, так и относительно гибкими, в зависимости от типа химической связи между их атомами. В случае сочетания липидов с жесткими и гибкими хвостами и холестерина (который в изобилии представлен в клеточных мембранах) формируются бислои, напоминающие коктейль из двух разных составов, сосуществующих друг с другом. Один состав богат холестерином и липидами с жесткими хвостами, другой – липидами с гибкими хвостами. Их сегрегация демонстрирует все признаки фазового разделения, которое физики изучают уже не первый десяток лет, особенно в контексте его зависимости от температуры. Если температура превышает какое-то критическое значение, разные липиды перемешиваются (см. верхний рисунок), а если не достигает его – сегрегируются в соответствии со своими предпочтениями (нижний рисунок).

Как и в случае с плавлением ДНК (см. главу 1), переход происходит резко, и аналитический инструментарий, разработанный для небиологических материалов, снова находит применение в живой природе. Обнаруженная картина наводит на мысль, что клетки могли бы использовать это холестерин-зависимое фазовое разделение для организации своих мембран. Разные белки с одинаковыми предпочтениями – любители богатой холестерином фазы и нелюбители – распределялись бы по разным областям. Искусственные мембраны сильно облегчают нам изучение фазового разделения липидов. В лаборатории несложно сконструировать из липидного бислоя сферы размером с клетку и использовать их как инструмент для изучения биофизики мембран и мембранных белков. (Они напоминают мыльные пузыри, но вместо воздуха у них внутри и снаружи вода, а оболочкой служит липидный бислой.) Глядя в микроскоп на мембрану, помеченную разными пигментами, предпочитающими богатые или небогатые холестерином домены, – например, светло-серым и темно-серым, как на рисунке, – мы увидим диски одного цвета в море другого.
Мы быстро поняли, что по этому принципу могла бы происходить пространственная организация в настоящих клетках, но ответить на вопрос, происходит ли она так, сложно до сих пор. В искусственных мембранах богатые и небогатые холестерином домены вырастают до размеров, легко различимых под микроскопом. Более того, понижая и повышая температуру, можно наблюдать, как домены возникают и исчезают. Загадка же в том, что в живых клетках эти домены никто не видит, хотя мы и знаем, что липиды и холестерин, из которых они состоят, ничем не отличаются от используемых в искусственных мембранах. Предполагают, что домены все же существуют, однако компоненты цитоскелета ограничивают их площадь несколькими десятками нанометров, в то время как волновая природа света не позволяет нам видеть структуры размером меньше нескольких сотен нанометров. Разумеется, нас эта ситуация не устраивает: утверждение, что объект существует, но наблюдению не поддается, совсем не добавляет уверенности в том, что он действительно существует! Однако интересно, что, химически воздействуя на клетки, можно создать «волдыри» – пузырьки на клеточной мембране, отделенные от цитоскелета10. В них уже явно различимы липидные домены, демонстрирующие все признаки фазового разделения жидкости, о чем в 2007 году впервые сообщили Уотт Уэбб и его коллеги из Корнеллского университета.

Эксперименты с пузырьками придали веса гипотезе о том, что в настоящих мембранах действительно происходит фазовое разделение. И все же можно было возразить, что в эксперименте мы подвергали мембраны жесткому воздействию и потому не вправе отождествлять с природными. Недавно ученые заметили у дрожжевых клеток крупные домены в мембране, ограничивающей органеллу под названием вакуоль11. В Вашингтонском университете группа под руководством Сары Келлер выявила, что в живых дрожжевых клетках эти мембраны демонстрируют признаки фазового разделения: самым показательным было образование доменов лишь при падении температуры ниже критической отметки. Любопытно, что дрожжевые клетки, по всей видимости, используют такие домены для расщепления накопленных жиров, когда нет доступных сахаров: именно там концентрируются необходимые для этого белки12. Пока неясно, обращаются ли другие клетки к подобным стратегиям, но гипотеза о том, что клетки используют принцип фазового разделения жидкости в организации своих мембран, все больше кажется не только изящной, но и верной.
Структура мембран и самосборка
Представление о клеточных мембранах как двумерных жидкостях, существующих благодаря самоорганизующемуся липидному бислою, укрепилось в 1970-х после нескольких десятилетий изучения природы биологических мембран13. Архитектура липидного бислоя поразительно изящна: она не только объясняет многие аспекты поведения мембран, но и показывает, что поведение это вытекает из простых физических взаимодействий. Кажется, что в силу огромной биологической значимости мембран клетки должны тщательно контролировать расположение липидов и создавать выверенные химические связи, чтобы удерживать их вместе. Но это не так: липиды могут действовать на свое усмотрение, подобно тому как капля масла, плавающая в воде, может принять форму хоть куба, хоть лучистой звезды. Но капля предпочитает быть сферой – просто потому, что такая форма минимизирует площадь соприкосновения масла с водой. Так и липиды выстраиваются в бислой просто потому, что такая форма сводит к минимуму контакт их гидрофобных хвостов с водой. Клетке не нужно задействовать гены, чтобы подтолкнуть липиды к формированию бислоев, липиды это делают сами. (Клетке нужны гены белков, синтезирующих молекулы липидов, однако уже созданные липиды способны к самоорганизации.)
Как и при фолдинге белков, здесь мы наблюдаем в действии крайне эффективный принцип самосборки: простые физические требования движут формированием структуры, позволяя молекулам самим выстраиваться в нужном порядке. Эксплуатация самосборки не только удобна природе, но и полезна в качестве примера для всех, кто природу изучает: этот феномен свидетельствует, что жизнь не обязательно устроена так замысловато, как кажется на первый взгляд, и в основе биологической сложности вполне может лежать физическая простота.
Итак, мы познакомились с важнейшими молекулами, из которых состоят все организмы на Земле: ДНК, РНК, белками и липидами. Это, конечно, не полный набор ингредиентов жизни – важный вклад в нее вносят ионы, сахара, гормоны и другие молекулы, – но характеристики этой группы универсальных компонентов сообщают нам многое о том, как устроена жизнь и как в живой природе кодируется информация. Выстраиваясь и взаимодействуя множеством разных способов, эти молекулы порождают все многообразие жизни вокруг нас. Мы продолжим изучать разные типы биологических структур и физические силы, которые задают рамки при их формировании, но сначала погрузимся в важную биофизическую тему, до этого затронутую лишь вскользь, – поговорим о предсказуемой случайности.




























