Текст книги "Клиника и лечение переломов нижней челюсти у людей пожилого и старческого возраста"
Автор книги: Андрей Иорданишвили
Жанр:
Медицина
сообщить о нарушении
Текущая страница: 4 (всего у книги 10 страниц) [доступный отрывок для чтения: 4 страниц]
2.2. Клинические методы исследования
Клинические методы исследования включали опрос жалоб и данные объективного исследования. Во время опроса пациентов пожилого и старческого возраста выясняли, что беспокоит пациентов на момент поступления в стационар, анамнез травмы (со слов больных), а также беседовали с сопровождающими их лицами. Изучали имеющиеся у больных медицинские документы (направления, сопроводительный лист скорой помощи и др.). Выясняли: когда, где и при каких обстоятельствах получена травма, характер травмы (бытовая, производственная, криминальная и т. п.), механизм получения травмы. Обязательно указывали точно год, месяц, день и час получения травмы. Одновременно выясняли, терял ли больной сознание, помнит ли о случившемся, была ли рвота, изменился ли характер жалоб и болей, и что беспокоит больного в настоящее время. Выясняли, кем, где и как была оказана первая помощь. Все данные анамнеза заболевания тщательно фиксировали в истории болезни.
Во время осмотра при наличии кровоподтеков, ссадин и ран отмечали их локализацию, характер, размеры. По цвету кровоподтеков, состоянию кожных покровов в области их расположения косвенно судили о давности травмы. Большое значение придавалось внешнему виду больного: асимметрия лица, полуоткрытый рот, слюнотечение, наличие припухлости и деформаций, характерных для той или иной локализации переломов; изменение прикуса, «ступенчатость» зубного ряда. Определяли также степень смещения отломков. Проверяли активные движения нижней челюсти вверх, вниз и в стороны. При осмотре обращали внимание на наличие свежих дефектов зубов (состояние лунки), вывихи и переломы зубов, характер, локализацию, размеры повреждений слизистой оболочки и мягких тканей полости рта, состояние десен в области щели перелома.
При помощи пальпации определяли наличие отека или инфильтрата в области перелома, их консистенцию, границы, место наибольшей болезненности. Особое внимание обращали на степень распространения подкожной эмфиземы. Пальпацию проводили по методике А.Э. Рауэра. Пальпировали одновременно обе ветви нижней челюсти и мыщелковые отростки. Определяли целостность и подвижность суставной головки височно-нижнечелюстного сустава. При внутриротовом обследовании особое внимание обращалось на крепитацию отломков нижней челюсти, а также симптом нагрузки на подбородочный отдел. Помимо определения подвижности костных отломков, производили обследование мягких тканей полости рта (язык, щеки, мягкое небо, и др.) на предмет обнаружения инородных тел, гематом, инфильтратов.
Таким образом, под нашим наблюдением находилось 157 пациентов (101 мужчина и 56 женщин) в возрасте от 60 до 83 лет. Старше 83 лет пациентов в наших наблюдениях не было.
При этом односторонние переломы нижней челюсти были диагностированы у 77 больных, двусторонние – у 67, двойные – у 8, тройной – у 5 пациентов. Распределение больных по нозологическим формам переломов и полу в возрастных группах представлено в таблице 1.
Таблица 1
Распределение больных по клиническим формам переломов нижней челюсти, возрастным группам и полу

Примечание: в числителе – мужчины, в знаменателе – женщины.
Из данных, представленных в таблице 1, следует:
1) соотношение частот одно– и двусторонних переломов нижней челюсти примерно одинаковое во всех 4 возрастных группах (χ2=3,27; p>0,10);
2) отсутствует зависимость между множественностью переломов нижней челюсти и возрастом больных (χ2=3,18; p>0,10);
3) соотношение мужчин и женщин одинаковое во всех 4 возрастных группах (χ2=2,44; p>0,10).
Учитывали также характер сопутствующей и фоновой патологии у пациентов разных возрастных групп. Пациенты пожилого и старческого возраста страдали тремя и более сопутствующими заболеваниями, что требовало внимания при проведении лечения переломов нижней челюсти, а также наблюдения врачами-специалистами в зависимости от особенностей сопутствующей или фоновой патологии.
Все больные были распределены на 2 основные и 2 контрольные группы.
Первую основную группу составили 30 (21 мужчина и 9 женщин) пациентов пожилого возраста с сохраненным зубным рядом, лечение которым проводилось ортопедическим методом путем иммобилизации отломков назубными проволочными или ленточными шинами и наложения межчелюстной резиновой фиксации.
Первую контрольную группу составили 35 больных (28 мужчин и 7 женщин) в возрасте от 25 до 47 лет, которым проводилось аналогичное лечение.
Вторую основную группу составили 92 пациента пожилого и старческого возраста (55 мужчин и 37 женщин), лечение которым проводилось хирургическим методом путем иммобилизации отломков нижней челюсти минипластинами внутриротовым или внеротовым доступом. Внутриротовой доступ при остеосинтезе минипластинами был применен у 62 (37 мужчин и 26 женщин) больных.
Вторую контрольную группу составили 35 больных пожилого и старческого возраста (25 мужчин и 10 женщин), которым иммобилизацию отломков нижней челюсти выполняли путем наложения костного шва. При этом необходимо отметить, что при косых и скользящих переломах нижней челюсти костный шов мы не применяли.
Распределение больных по методам лечения переломов нижней челюсти и возрасту (2 основные и 2 контрольные группы) представлено в таблице 2.
Как следует из данных, представленных в таблице 2, в группах пожилого и старческого возраста применение минипластин было достоверно более частым, чем у больных молодого и среднего возраста (χ2=37,10; p<0,001).
Таблица 2
Распределение больных по возрастным группам в зависимости от способа лечения переломов костей лицевого скелета

Примечание: в числителе – мужчины, в знаменателе – женщины.
2.3. Инструментальные методы исследования
2.3.1. Рентгенологическое обследованиеПри подготовке пациентов к проведению иммобилизации отломков проводили рентгенологическое обследование. Для этого применяли ортопантомографию, которая позволяет получить на рентгенограммах данные о состоянии пародонта сохранившихся зубов, состоянии костной структуры альвеолярных отростков, альвеолярных частей и тела челюсти. Учитывали положение зубов, корней, наличие скрытых кариозных полостей и поддесневых зубных отложений. Особое внимание уделяли состоянию опорных зубов, которые использовали для фиксации назубных ленточных или проволочных шин. Для уточнения данных о состоянии периапикальных тканей зубов использовали внутриротовую рентгенографию и радиовизиографию [Ефимов Ю.В., 2004].
Также применялось рентгенологическое обследование нижней челюсти в прямой и боковой проекциях (рис. 1).
Значительное внимание уделяли степени горизонтальной и вертикальной резорбции кости в области корней зубов, а также степени и характеру атрофии костной ткани в зоне отсутствующих зубов.
При изучении состояния костной ткани альвеолярных отростков и частей в отдаленные сроки после иммобилизации отломков ортопедическими или хирургическими методами прибегали к сравнению рентгенограмм, сделанных до и после хирургического вмешательства, а также через 3 и 6 недель после лечения.


Рис. 1. Больная И., 68 лет. Рентгенограмма нижней челюсти у больного с переломом нижней челюсти: а – прямая проекция, б – боковая проекция
Сравнению подлежали рентгенограммы, сделанные в одинаковых условиях при соблюдении стандартных параметров съемки.
С целью более точного отображения состояния костной ткани альвеолярной части нижней челюсти использовали методику рентгенологического исследования – интраоральную дигитальную (цифровую) рентгенографию с последующим вычислительным анализом изображений. Обработка дигитального изображения, воспроизводимого на экране монитора, осуществлялась с помощью специального программно-вычислительного комплекса.

Рис. 2. Трехмерная графика при обработке цифрового изображения нижнего отдела лица
Путем фильтрации изображения, изменения его яркости, контрастности и цветности, выделения (с увеличением) отдельных его фрагментов, использования трехмерной графики, проведения количественных (линейных и угловых) измерений и построения денситограмм получали важную информацию о состоянии костной ткани альвеолярных отростков и частей в отдаленные сроки после хирургического вмешательства. Цифровая обработка изображений позволяет получить детальную характеристику состояния костной ткани челюстей в области консолидации отломков. Степень консолидации оценивали путем получения числовых значений плотности костной ткани в зоне перелома и формирования костной мозоли.
Применение трехмерной графики при обработке цифровых изображений позволяло получить объемную картину изучаемых областей. Полученные рельефные изображения исследуемых объектов делают их более информативными и привычными для восприятия (рис. 2).
2.3.2. ЭхоостеометрияЭхоостеометрия – это метод оценки плотности костной ткани с помощью ультразвука. Данный метод характеризуется высокой чувствительностью к изменениям минеральной насыщенности костных тканей. В процессе динамического наблюдения ультразвуковая остеометрия позволяет выявить минимальные изменения в структуре костной ткани, получать объективную оценку ее плотности, выявлять начальные изменения плотности кости при отсутствии клинических проявлений. Метод ультразвуковой эхоостеометрии по чувствительности значительно превосходит рентгенологический, при котором остеопороз выявляют при 20–30 % потере гидроксиапатита, определяющего плотность кости, тогда как ультразвуковой метод исследования костной ткани позволяет выявить признаки остеопороза при снижении деминерализации всего на 3 %.
Метод эхоостеометрии основан на том, что скорость прохождения ультразвуковой волны в разных средах различна и зависит от плотности и от модуля их упругости. Распространение ультразвукового сигнала по кости определяется ее структурой и степенью минерализации. Скорость прохождения ультразвуковой волны через исследуемый объект прямо пропорциональна его плотности (чем выше плотность исследуемого объекта, тем выше скорость). Кроме того, она находится в прямой зависимости от возраста, пола и механической нагрузки на кость. Скорость прохождения ультразвука будет тем выше, чем выше модуль упругости и больше концентрация солей кальция, фосфора и других минеральных компонентов.
Исследование проводили с помощью эхоостеометра «ЭОМ-ЗЦО» (рис. 3), с помощью которого измеряли время распространения ультразвука в кости. При эхоостеометрии ультразвуковой импульс проходит по участку кости от ультразвукового излучателя до воспринимающих ультразвук головок и регистрируется пьезодатчиками. Применяли три ультразвуковых головки. Одна из них являлась излучателем, а две другие воспринимали ультразвуковой импульс.

Рис. 3. Прибор для эхоостеометрии «ЭОМ-3ЦО»
Скорость распространения ультразвука в кости рассчитывали по формуле:

где V – скорость распространения ультразвука (м/с); S – длина исследуемого участка кости (мм); T – время прохождения ультразвука в исследуемом участке кости (мкс); 10 – коэффициент.
Результатом исследования считали среднее значение при проведении трехкратных измерений. В области перелома измерения проводили до, после хирургического вмешательства и через 1, 2, 3 и 4 недели.
При потере зубов в результате отсутствия функциональной нагрузки на костную ткань челюсти наступают изменения ее минерального обмена и снижается плотность костной структуры альвеолярного отростка. Применение этого метода исследования для изучения состояния костной ткани в зоне перелома позволяет оценить в динамике у пациентов пожилого и старческого возраста отдаленные результаты эффективности лечения переломов нижней челюсти при различных методах иммобилизации отломков.
2.3.3. Метод реографииДля оценки состояния регионарного кровотока использовали метод компьютерной реографии по тетраполярной методике с помощью компьютерного реоанализатора КМ-АР-01 «Диамант» (Санкт-Петербург).
Метод реографии позволяет оценить гемодинамику тканей в зоне перелома. Исследование проводили по тетраполярной методике с помощью стандартных внутриротовых электродов, представляющих собой единую систему из двух пар электродных пластин. Одновременно регистрировали реограмму с предплечья и электрокардиограмму. Электродную систему устанавливали на слизистой оболочке альвеолярной части нижней челюсти с вестибулярной стороны и за счет прижатия губы или щеки удерживали естественным образом. Графическую регистрацию пульсовых изменений электрического сопротивления тканей – реограмму – оценивали визуально и с помощью числовых показателей, рассчитанных по амплитудно-временным отрезкам реограммы. Основные числовые показатели, позволяющие судить о состоянии сосудов – величина реографического индекса (РИ) и индекс периферического сопротивления (ИПС).
При визуальной оценке реограммы определяли тонус сосудов и их функциональное состояние. Для нормального тонуса характерны крутая анакрота, острая вершина, хорошо выраженная дикротическая волна, расположенная в средней трети катакроты. Для сниженного тонуса – анакрота с выраженной крутизной, заостренная вершина, хорошо выраженная дикротическая волна, расположенная в нижней трети катакроты. Для повышенного тонуса сосудов характерны пологая анакрота, уплощенная вершина, сглаженная дикротическая волна, расположенная близко к вершине [Васильев В.М., 2006].
Относительная погрешность измерения базового сопротивления на частоте зондирующего тока 28 и 115 кГц – не более 6 %, а на частоте 230 кГц – не более 8 %. Относительная погрешность измерения переменной составляющей импеданса – не более 4 %.
При анализе реограммы использовали индекс периферического сопротивления (ИПС), который рассчитывается как отношение амплитуды инцизуры дикротической волны к амплитуде быстрого кровенаполнения (выражается в процентах) по формуле:
ИПС = (И/А1)×100 %,
где
И – амплитуда инцизуры дикротической волны (мм);
А1 – амплитуда быстрого кровенаполнения (мм).
Реографический индекс (РИ) определяли как отношение амплитуды реограммы к амплитуде калибровочного сигнала, который выражается в омах.
РИ = max/K, где
Max – амплитуда реограммы (мм);
К – амплитуда калибровки (Ом).
2.4. Методы иммобилизации отломков у больных при переломах нижней челюсти
Эффективность клинической реабилитации пациентов различных возрастных групп оценивали по комплексу клинико-физиологических показателей, включающих традиционные методы контроля (опрос жалоб, оценку клинических признаков и др.) и проведение инструментальных методов обследования.
На первом этапе обследования выясняли общий статус больного и связанные с ним показания и противопоказания к выбору метода лечения перелома нижней челюсти. Сбор анамнеза позволял выяснить перенесенные ранее заболевания, особенно факторы, оказывающие неблагоприятное воздействие на организм больного при проведении хирургического вмешательства.
Для определения объективных показаний к проведению хирургического вмешательства с целью иммобилизации отломков внутриротовым доступом особое значение имели инструментальные методы предоперационного обследования больных, в том числе рентгенологическое обследование, денситометрия, эхоостеометрия, реополярография.
При осмотре беззубого альвеолярного отростка большое значение имеет протяженность концевого или включенного дефекта зубного ряда, так как от этого зависел выбор минипластины (ее размера и формы).
Перед проведением хирургического вмешательства внутриротовым доступом производили осмотр состояния зубов и слизистой оболочки полости рта, определяли степень атрофии альвеолярной части на нижней челюсти, оценивали состояние прикуса и качество имеющихся зубов. В обследование были включены оценка состояния тканей пародонта, деформации зубных рядов и определение состояния гигиены полости рта. При пальпации определяли высоту и рельеф альвеолярного гребня, границы подвижной и неподвижной слизистой оболочки.
На втором этапе производили повторное обследование пациентов после иммобилизации отломков различными способами, применяя клинические и инструментальные методы исследования.
Для изучения эффективности различных методов лечения переломов нижней челюсти у больных выявляли наличие подвижности отломков и объем активных движений (вертикальных и боковых) нижней челюсти, а также рентгенологическое исследование, ультразвуковую эхоостеометрию, реополярографию в зоне перелома и лабораторные показатели крови.
Все полученные результаты обследования вносили в разработанную регистрационную карту, состоящую из четырех основных разделов: первый – клинико-диагностические данные, которые отражали общий статус пациента; второй – объективные данные о состоянии органов и тканей полости рта; третий – результаты клинических и лабораторных методов исследования; четвертый – данные о выборе метода иммобилизации отломков и результаты лечения.
2.4.1. Ортопедические методы лечения при переломах нижней челюстиПри наличии достаточного количества зубов у 30 пациентов пожилого возраста и у 35 пациентов молодого и среднего возраста иммобилизацию отломков в течение 3–4 недель осуществляли с помощью назубных проволочных или ленточных шин и эластичной межчелюстной резиновой тяги.
Иммобилизацию двучелюстными назубными шинами проводили по общепринятой методике [Малышев В.А., Кабаков Б.Д., 2006].
Проволочные шины изготавливали из алюминиевой проволоки индивидуально, припасовывая в полости рта, и фиксировали к каждому имеющемуся зубу бронзово-алюминиевой лигатурой. Ленточные шины изгибали по зубной дуге пациента и фиксировали к зубам бронзовоалюминиевой лигатурой. При смещении отломков накладывали межчелюстную резиновую тягу. После восстановления прикуса с помощью резиновых колец осуществляли межчелюстную фиксацию отломков в правильном положении (рис. 4).

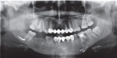
Рис. 4. Ортопантомограмма. Больной Ф., 29 лет
2.4.2. Хирургические методы лечения при переломах нижней челюстиВо время операции положение больного – лежа на спине, с головой, повернутой в противоположную сторону. Операционное поле обрабатывали 2 раза 70° этиловым спиртом, затем 1 % раствором йода, отграничивали стерильными простынями. Оперативное вмешательство выполняли под общим или местным (проводниковая и инфильтрационная анестезия) обезболиванием. В зависимости от локализации перелома (в подбородочном отделе, в области тела или угла нижней челюсти справа или слева) раствором бриллиантового зеленого или метиленового синего намечали линию разреза кожи, отступя от нижнего края челюсти на 2–3 см (с учетом прохождения краевой ветви лицевого нерва). Разрез кожи длиной 7–8 см производили параллельно нижнему краю челюсти. Рассекали мягкие ткани и обнажали область перелома. Распатором отслаивали надкостницу только по наружной поверхности отломков на протяжении 2–5 см. Отломки устанавливали в правильное положение. Ассистент с помощью костных зажимов (щипцов) удерживал отломки в правильном положении. Выбранную накануне минипластину необходимого размера и конфигурации накладывали на отломки таким образом, чтобы она плотно прилегала к наружной компактной пластинке челюсти на достаточном протяжении обоих отломков. Для придания минипластине необходимой формы, повторяющей рельеф кости, применяли крампонные щипцы. Затем бором или специальным сверлом из набора инструментов (соответственно расположению отверстий в минипластине) просверливали отверстия в наружной компактной пластинке нижней челюсти. Диаметр отверстий соответствовал внутреннему диаметру винтов. Подобранными винтами фиксировали минипластину. Для надежного закрепления отломков минипластинами на период консолидации отломков соблюдали следующие правила: минипластину накладывали перпендикулярно щели перелома; винты, фиксирующие минипластину, устанавливали не ближе 0,5 см от щели перелома. С каждой стороны от щели перелома устанавливали минимум по два винта. Во время выполнения перфорационных отверстий скорость вращения сверла была 1000–1500 об/мин. При этом кость орошали физиологическим раствором. После закрепления минипластины операционную рану орошали раствором линкомицина или цефазолина и послойно ушивали кетгутом, оставив в ране ниппельный резиновый выпускник для орошения костной раны раствором антибиотиков в послеоперационном периоде в течение 2–4 дней. При выполнении перфорационных отверстий при внеротовом доступе и наложении минипластин учитывали топографию нижнечелюстного канала и верхушек корней зубов.
При внутриротовом доступе разрез проводили по переходной складке или альвеолярному гребню и минипластины устанавливали по основанию альвеолярной части нижней челюсти (рис. 5) или по вершине альвеолярного гребня при остеосинтезе в области угла нижней челюсти.

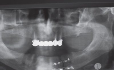
Рис. 5. Ортопантомограмма. Больной В., 78 лет
Разрез начинали на 1 см ниже мочки уха и, отступя от заднего края ветви челюсти на 1,5–2 см, продолжали вниз, до подчелюстной области, огибая угол нижней челюсти. Затем разрез продолжали в подчелюстной области (отступя от края нижней челюсти на 2,5 см) до переднего края прикрепления собственно жевательной мышцы. Во время операции добивались тщательного гемостаза. Отсекали сухожилие собственно жевательной мышцы и рассекали надкостницу. Жевательную мышцу прошивали толстым кетгутом, концы кетгутовой нити фиксировали кровоостанавливающим зажимом, который использовали в качестве держалки. Распатором отслаивали надкостницу и жевательную мышцу, обнажая наружную компактную пластинку в области угла, ветви и, при необходимости, в области мыщелкового отростка. При проведении остеосинтеза отломков в области мыщелкового отростка выполняли дополнительные чрескожные разрезы на уровне суставной головки. Через эти разрезы под контролем зрения через основной раневой канал выполняли перфорационные отверстия, вводили винты и закручивали их для фиксации минипластины на дистальном и проксимальном отломках.
При иммобилизации отломков предложенной нами минипластиной в дистальном отломке выполняли бором канал, вводили в него край минипластины, а на проксимальном отломке выполняли перфорационные отверстия и фиксировали минипластину винтами. После проверки правильности сопоставления отломков, наложения минипластины и надежного удержания отломков рану послойно ушивали кетгутом и леской, оставляя в ране трубчатый выпускник для орошения ее растворами антибиотиков.

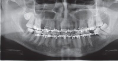
Рис. 6. Ортопантомограмма. Больной П., 55 лет
При остеосинтезе костным швом отломки скелетировали, отслаивая надкостницу, как по наружной, так и по внутренней компактной пластинкам (рис. 6).
Для выполнения остеосинтеза с помощью минипластин необходимы оборудование и инструменты, позволяющие удерживать отломки в правильном положении, выполнять отверстия в кости, наносить и фиксировать минипластины, определять глубину перфорационных отверстий для правильного подбора длины винтов и их завинчивания.
Минипластины, изготовленные из титана, имеют различную конфигурацию, удобны для наложения во всех участках лицевого скелета, так как пластине легко придать любой изгиб, содержат различное количество отверстий. Толщина минипластин 0,8–1,2 мм или 2 мм. Каждая минипластина имеет свой шифр, состоящий из шести цифр.
Первые две цифры обозначают шифр толщины пластины. Так, пластины толщиной 0,8–1,2 мм имеют шифр 01, а пластины толщиной 2 мм имеют шифр 02. Минипластины, толщина которых 0,8–1,2 мм, насчитывают в своей комплектации 99 разновидностей, каждая из которых имеет свой номер. Набор минипластин, толщина которых 2 мм, насчитывает в своей комплектации 15 разновидностей; минипластины имеют номера от 1 до 15. Шифр нумерации минипластин идет непосредственно за шифром толщины минипластин.
Кроме того, каждая минипластина имеет различное количество отверстий. Шифр количества отверстий обозначается двумя цифрами, которые записываются в общем цифровом шифре минипластины после порядкового номера через черточку. Так, например, минипластина толщиной 1,2 мм, имеющая 7-й порядковый номер и содержащая 4 отверстия, будет иметь шифр 0107-04, а минипластина толщиной 2 мм под четвертым порядковым номером и шестью отверстиями – 0204-06.

Рис. 7. Система цифрового обозначения винтов для фиксации минипластин
Для фиксации минипластин при выполнении остеосинтеза применяли самонарезные винты различной длины. Диаметр винта 2 мм. Винты, в зависимости от длины, также имеют свой цифровой шестизначный шифр (рис. 7).
При выполнении остеосинтеза минипластинами чаще всего использовали винты длиной 5, 7, 11 мм, реже – 15 мм. При недостаточной фиксации минипластины винтами 1,9 мм применяли самонарезные винты диаметром 2,3 мм.








